
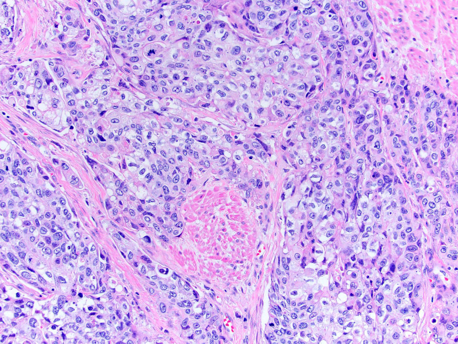
Study Shows Noninferior Overall Survival with Active Surveillance Compared with Surgery in some Oesophageal Cancers
The SANO trial also demonstrated clinically complete responses following neoadjuvant chemoradiotherapy. Positive data from the SANO trial presented on th








