
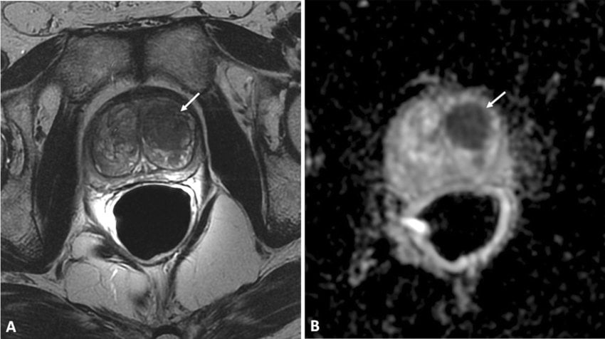
The SETABA Trial: Tadalafil Plus Serenoa Repens Combination Improves Post-Biopsy Functional Recovery After Transperineal Prostate Biopsy
A multicentre randomised trial has demonstrated that perioperative combination therapy

A multicentre randomised trial has demonstrated that perioperative combination therapy

A prospective single-surgeon series has demonstrated that the Lisbon Zero-Clip

A single-institution study from the University of California, Irvine has

A large prospective multicentre registry study has identified a comprehensive

A multicentre retrospective series from Mexico has reported that radical

A landmark international survey spanning 93 countries and more than

A large, multicentre randomised controlled trial comparing conventional laparoscopic and

Long-awaited survival data from the ARTO trial have confirmed that

The comprehensive study was presented on Monday, September 15th, 2025

The research study was presented on Monday, September 15th, 2025

The comprehensive study was presented on Monday, September 15th, 2025

A phase 1 clinical trial presented at the 61st European