
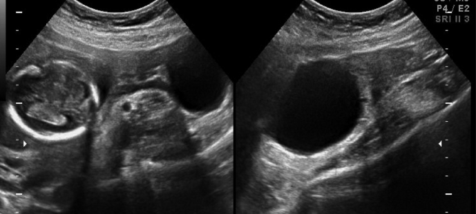
Management of Undesired Pregnancy of Unknown Location and Early Abortion
This research study was presented at the American College of Obstetricians and Gynaecologists (ACOG) 2025 Annual Clinical & Scientific Meeting

This research study was presented at the American College of Obstetricians and Gynaecologists (ACOG) 2025 Annual Clinical & Scientific Meeting

In a significant move to enhance patient care, the American College of Obstetricians and Gynecologists (ACOG) has released new recommendations

A groundbreaking study from Montefiore Medical Center reveals that women with a previous cesarean delivery who undergo induction of labor

This study was presented at the American College of Obstetricians and Gynaecologists (ACOG) 2025 Annual Clinical & Scientific Meeting on

This research study was presented at the American College of Obstetricians and Gynaecologists (ACOG) 2025 Annual Clinical & Scientific Meeting

Dr Steve Franks from the Imperial College London, Institute of Reproductive & Developmental Biology, London, United Kingdom th th presented

Dr Charlotte Dupont from the Hospital Tenon, Service de biologie de la reproduction-CECOS, Paris, France presented this research on June

Dr Soren Zeibe from the Copenhagen University Hospital, The Fertility Department, Copenhagen, Denmark presented this research on June 26th at

Dr Louis Campagnolo from the 1University of Rome TorVergata, Biomedicine and Prevention, th Roma, Italy presented this research on June

Dr. Synthia Sites from the University of Massachusetts-Chan School of Medicineth Baystate presented this research on June 26 at th