
Sodium – Glucose Cotransporter 2 Inhibitors (SGLT2I) Short – Term Out – come In Diabetic Kidney Transplant Recipients
The emergence of positive data on the use of sodium glucose co-transporter inhibitors (SGLT2i) in the last several years, begged

The emergence of positive data on the use of sodium glucose co-transporter inhibitors (SGLT2i) in the last several years, begged

Serum uric acid may predict the onset and progression of kidney disease, and the occur- rence of cardiovascular (CVM) and

Factors other than the HLA – match might have an impact on transplant outcomes. New studies showed that genomic factors

Following renal transplantation, patients are at risk of developing a wide range of complications. These may include hematological disorders, including

Many patients develop chronic kidney disease (CKD) after acute kidney injury (AKI). The risk of CKD increases more than eight-fold

Many patients with the rare kidney disease FSGS require dialysis in the course of the d i s e a

Due to the immunological pathogenesis of IgA nephropathy (IgAN), patients used to be given immunosuppressive therapy; however, this was shown

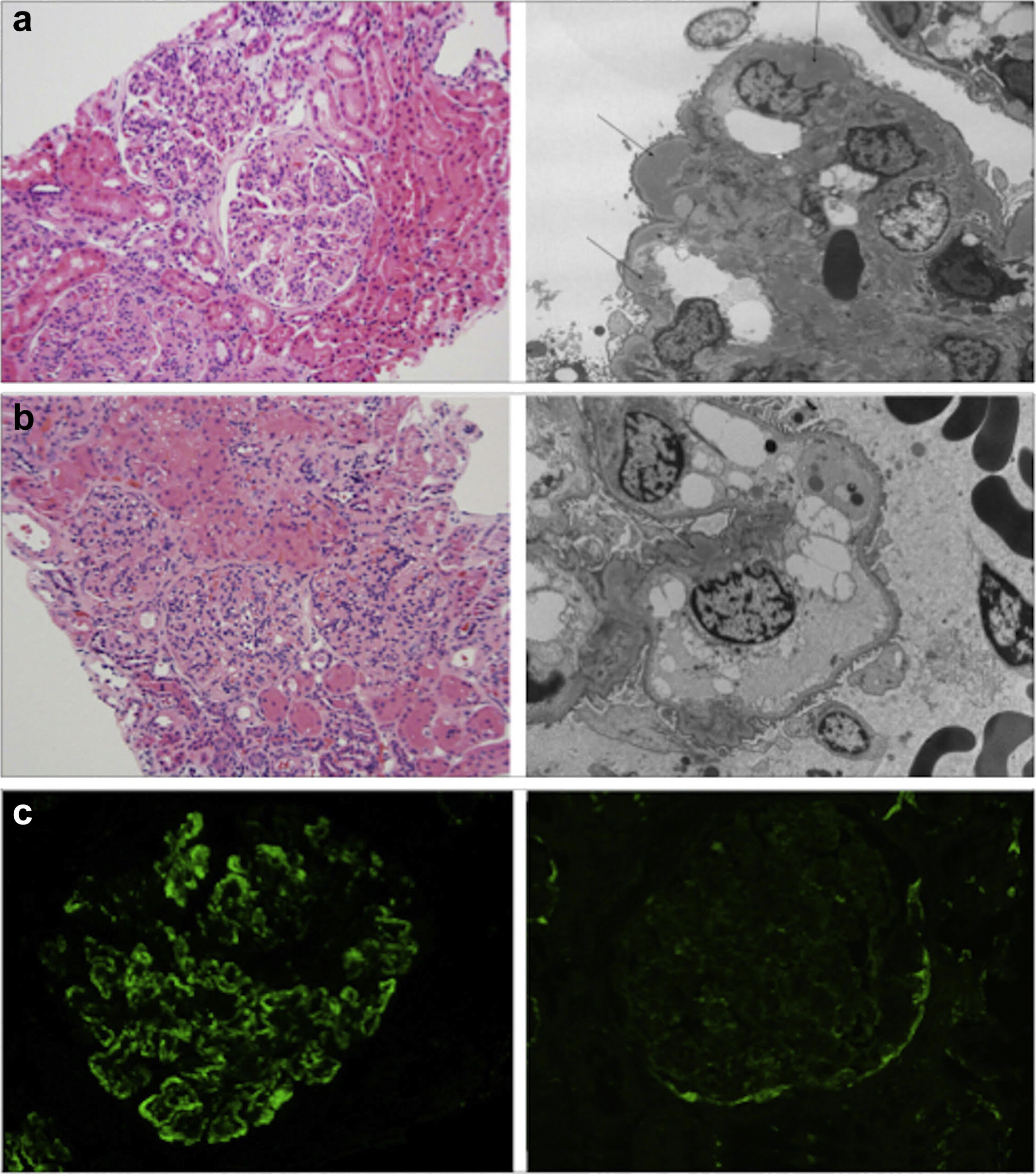
C3 glomerulopathy is a rare disease in which the deposition of C3 protein causes severe inflammation of the glomeruli, which

Neprilysin inhibition (NEPi) combined with a reninangiotensin system (RAS) blocker has been shown to play an important role among patients

Hyponatremia is associated with aggravation of inflammation in COVID-19 patients. However, to the best of our knowledge, no study has